Některé kliniky asistované reprodukce v Národní den neplodnosti, který spadá na 6. června, umožňují zdarma test plodnosti. Akce mimojiné upozorňuje i na to, že párů, které po dítěti touží, ale mají problém s početím, přibývá. V průměru má s plodností problém každý pátý pár.
„Počet neplodných párů každoročně stoupá. Ukazuje to i rostoucí zájem o služby naší kliniky. Každoročně je to 5 až 10 procent,“ uvádí manažer pražské Kliniky asistované reprodukce IVF Cube Ondřej Šebestík.
Kvůli rozvíjející se kariéře odkládala těhotenství i pětatřicetiletá Monika T. V pětatřiceti letech si díky okolí uvědomila, že by za pár let mohlo být už pozdě.
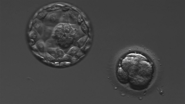
Jak vzniká dítě ze zkumavky |
„Vlastně náhodou jsem na internetu narazila na den neplodnosti. Jedna klinika umělého oplodnění nabízela vyšetření zdarma,“ popisuje Monika situaci z loňského roku.
Na vyšetření vzala i partnera. Platí totiž, že problémy v poslední době trápí muže a ženy stejně. „Obecně se říká, že problém bývá ve 40 procentech případů na straně ženy, ve stejném počtu na straně muže a ve 20 procentech případů je problém u obou partnerů,“ potvrzuje lékařka Hana Višňová z IVF Cube.
U žen je problémem zejména to, že s těhotenstvím čekají. Nejčastěji kvůli práci. To však z biologického hlediska správné není. U žen totiž s rostoucím věkem klesá počet vajíček. Nejvyšší je po narození, během života se nová už nevytváří. I proto lékaři odkládání těhotenství na pozdější věk nedoporučují.
Průměrný věk žen stoupl na 41,5 roku
„Z testování mi vyšlo, že vajíček mám poměrně málo, zároveň jsem měla i problémy s hormony, vajíčka se samovolně neuvolňovala,“ přibližuje Monika své potíže. Začala proto s hormonální léčbou, která měla problémy vyřešit. „Otestovat se nechal i manžel. U něj naštěstí bylo vše v pořádku.“ U mužů mezi nejčastější problémy patří nízký počet spermií či jejich nedostatečná pohyblivost. Takové spermie se pak nejsou schopné dostat rychle k vajíčku a oplodnit ho.
Léčba mužské neplodnosti - miliardový byznys budoucnosti |
Rodičkám v Česku je v průměru 30 let, kliniky umělého oplodnění ale u svých pacientek zaznamenávají ještě pozdější věk. „Průměrný věk našich pacientek, tedy těch, co podstoupí terapii s vlastními vajíčky, byl minulý rok 41,5 let. O rok dřív byl průměr o pět let nižší,“ poznamenává Višňová.
Většina žen s mateřstvím čeká zejména kvůli práci. „Pracovala jsem ve velké firmě, kdybych najednou na tři roky odešla na mateřskou, ujel by mi vlak. Žila jsem v tom, že těhotenství počká,“ vzpomíná Monika.
V Česku se díky asistované reprodukci narodí každý rok asi pět tisíc dětí. Jedním z nich bude za pár měsíců i dítě Moniky a jejího partnera. „Jsem vděčná. Zpětně už to nezměním, ale kdybych mohla, víc bych se o rizika těhotenství v pozdějším věku zajímala. I teď mi hrozí víc komplikací, musím chodit na hodně vyšetření. Mám strach, ale převládá radost,“ uzavírá Monika.






















